fbpx
Técnica DS Xpander: Expansión Esquelética Avanzada para Adultos
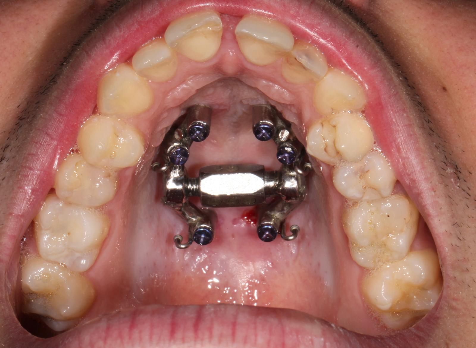
técnica DS Xpander

Durante décadas, la comunidad científica consideró que la expansión del maxilar superior era un procedimiento exclusivo para niños y adolescentes antes de que las suturas óseas se fusionaran por completo. Sin embargo, la odontología de vanguardia ha roto esa barrera biológica. La técnica DS Xpander se presenta hoy como la solución innovadora definitiva para la disyunción esquelética en pacientes adultos, diseñada específicamente para abordar las particularidades anatómicas y la densidad ósea propias de la madurez.

Un enfoque técnico-clínico avanzado y personalizado

La técnica DS Xpander no es un tratamiento convencional; su enfoque técnico-clínico avanzado garantiza un procedimiento totalmente personalizado, maximizando la eficacia y la predictibilidad de los resultados finales. A diferencia de los aparatos de expansión tradicionales, que a menudo ejercen una presión excesiva sobre los dientes, este sistema utiliza microtornillos de anclaje esquelético. Estos dispositivos aplican la fuerza directamente sobre el hueso maxilar, evitando inclinaciones dentales indeseadas y garantizando que la expansión sea puramente ósea y no solo dental.

Al actuar directamente sobre la base ósea, logramos ensanchar el paladar de forma armónica y estable. Este proceso es fundamental para ganar espacio en casos de apiñamiento severo o para corregir mordidas cruzadas que, de otro modo, requerirían cirugías ortognáticas mucho más complejas. En nuestra clínica, la aplicación de la técnica DS Xpander representa un salto cualitativo en la ortodoncia avanzada, ofreciendo alternativas reales a pacientes que buscan una sonrisa funcional sin intervenciones hospitalarias invasivas.

Beneficios de la expansión con DS Xpander

El uso de esta tecnología permite una estabilidad a largo plazo mucho mayor. Al centrarse en la estructura esquelética, los resultados son más naturales y la estética facial mejora significativamente al ampliar el arco de la sonrisa. Además, la técnica DS Xpander mejora el paso del aire por las fosas nasales, siendo una gran ayuda para pacientes con problemas de respiración bucal crónica o ronquidos nocturnos.

En la Clínica Dental Dr. Carlos Cruz, combinamos la planificación digital 3D con esta aparatología de última generación para transformar sonrisas con la máxima precisión quirúrgica. Si sientes que tu sonrisa es estrecha o notas dificultades respiratorias, esta innovación puede mejorar tu calidad de vida de forma drástica. Pide cita en Clínica Dental Dr. Carlos Cruz y descubre cómo la disyunción esquelética avanzada puede devolverte la salud y la confianza de manera predecible y segura.